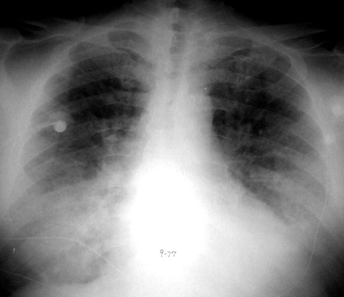
Diffuse Alveolar Hemorrhage

Acute onset bilateral airspace disease due to hemorrhage in a patient with Wegners granulomatosis.

Next