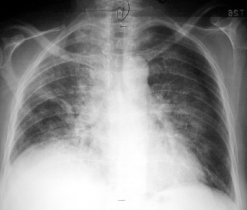
Methotrexate Lung

 

Next