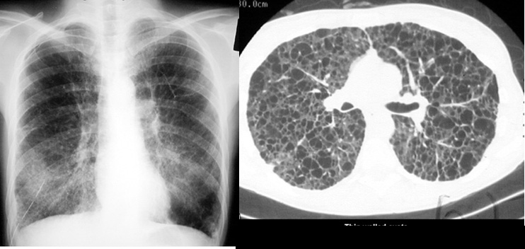
Lymphangioleiomyomatosis

Bilateral interstitial infiltrate, with a right sided chest tube inserted for chylothorax. CT showing thin walled cyts.

 

Next