Eosinophilic Granuloma presenting with Pneumomediastinum

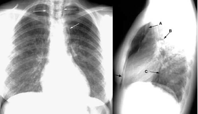
Reticulonodular lung fields. Arrows pointing to air along vessels. A:  Aorta/branches
B:  Pulmonary artery 
C:  Descending aorta

Next