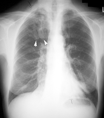
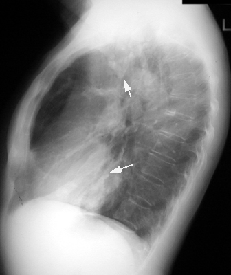
Bronchial Cast

"Gloved finger" appearance. Branching density. Inspissated mucus, distends bronchi giving such an appearance.

Next