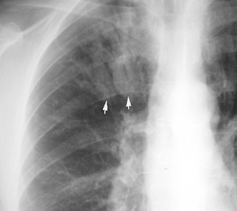
Bronchial Cast

"Gloved finger" appearance. Branching density.       

Next