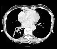
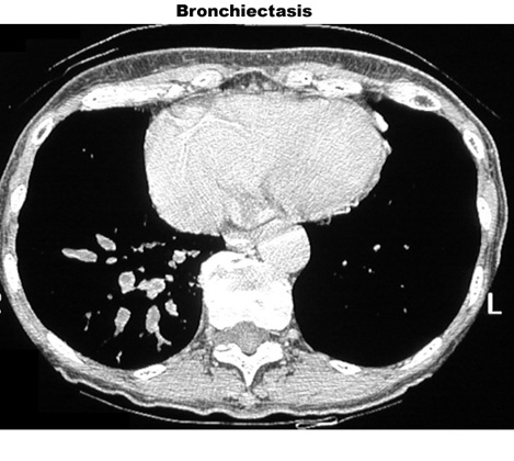
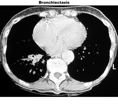
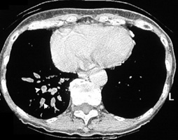
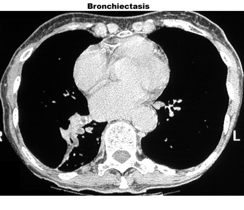
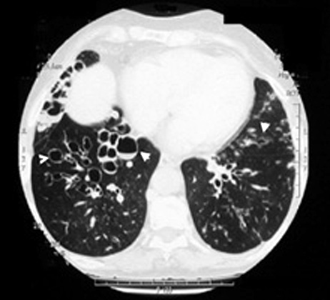
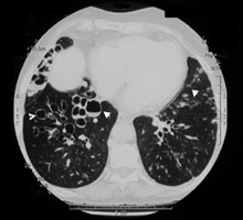
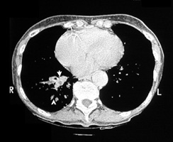
Bronchiectasis

Dilated bronchi with peribronchial fibrosis, visualized in various cuts of CT as cystic spaces, tubular shadows and branching densities.

Click each image to see a larger version.

Next