![]() |
|
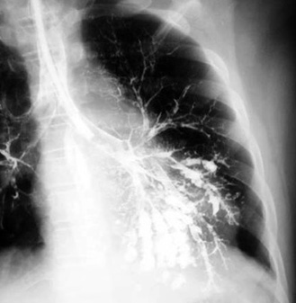
Localized Saccular BronchiectasisLeft hilum pulled down by the atelectatic left lower lobe. Retrocardiac tubular densities (hard to visualize). Bronchogram showing saccular bronchiectasis. Bronchograms are rarely done nowadays. CT can provide the diagnostic information. |
|
Next |
|