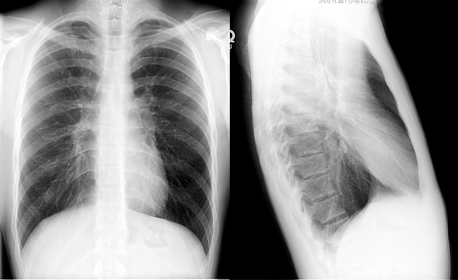
CXR of an asthmatic during an episode of bronchospasm. Lungs are hyperinflated due to air trappping. This normalizes once bronchospasm is controlled.
 

Next