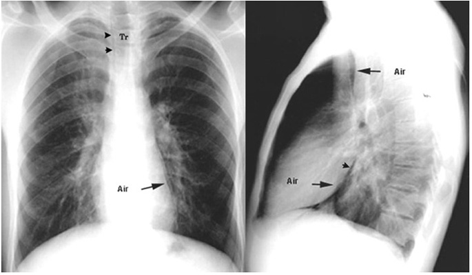
Asthmatic with Pneumomediastinum

Arrows point to air around heart and great vessels.

Next