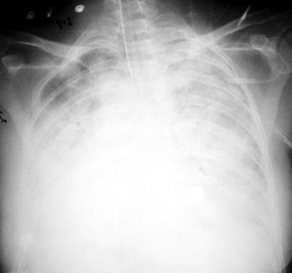
ARDS

  • Diffuse white out of lung fields
  • Diffuse alveolar atelectasis

Next