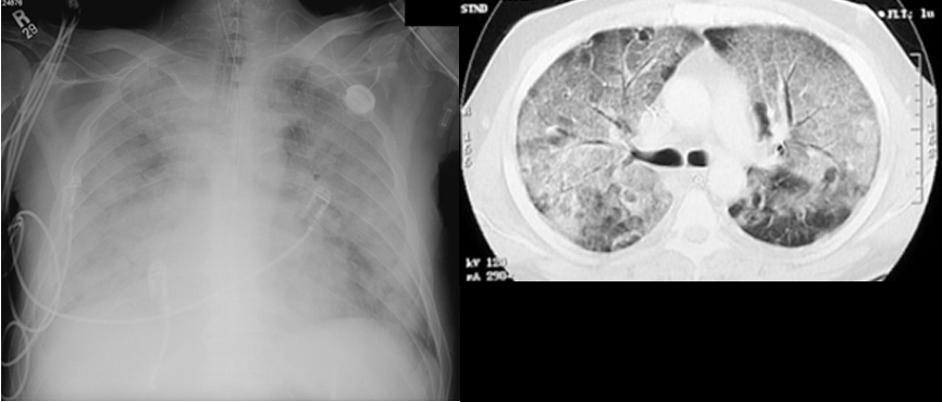
ARDS65 year old male who received induction chemotherapy for AML developed hypoxemic respiratory failure and was intubated. His PaO2 while receiving 100% oxygen was 55. An echocardiogram was normal. CT shows bilateral diffuse ground glass infiltrates. |
|
Topic List |
|