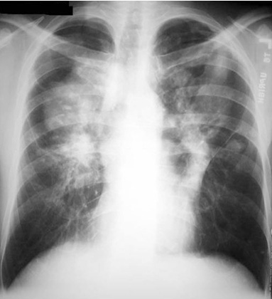
Bilateral upper lobe diseae.
Conglomeration of mass and fibrotic process.
Closely resembles Silicosis.