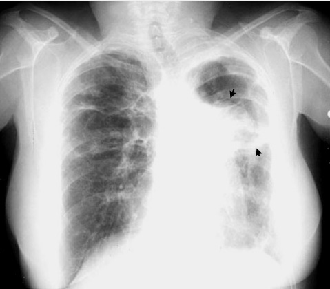
Sarcoidosis advanced stage

Advanced stage with upper lobe fibrosis; left pleural fibrosis and left upper lobe cavity with fungus ball.

 

 

Next