li-9-1                    AUTOIMMUNE HEPATITIS              By Dr. E. Orfei

There is a group of liver diseases of uncertain etiology, with or without autoantibodies, with or without hypergammaglobulinemia, which do or do not respond to steroid therapy. These conditions may be due to an immune disorder. The list includes:

-Autoimmune hepatitis.

-Primary biliary cirrhosis.

-Vanishing bile ducts.

-Primary sclerosing cholangitis

-Hepatic granulomas.

-Graft-versus-host disease.

Of the above only autoimmune hepatitis responds to steroid treatment.

Here we will discuss autoimmune hepatitis The other conditions will be treated in other sections.

Definition

A chronic active hepatitis without identifiable etiology in people sometimes affected by other autoimmune diseases.autoimmune hepatitis


 

Clinical presentation

It manifests:

- clinically with malaise and sometimes jaundice.

- biochemically with elevation of serum transaminases (ALT) and gamma globulins.

-morphologically with necroinflammatory changes in periportal hepatocytes (piecemeal necrosis).

-serologically with presence of autoimmune antibodies and hyprgammaglobulinemia.

The onset may be acute or gradual, chronic, insidious. It starts with acute symptoms in 30% of the cases with jaundice, fever, malaise, liver tenderness, like an acute viral hepatitis. It has insidious onset in the remainder of the cases to the point that in a large number of cases (30 to 80 %) the disease is discovered at the cirrhotic stage sometimes already decompensated. It can occur at any age and in both sexes but it affects mostly women 10 to 30 years old or around late middle age. F/M ratio is 4:1. Other autoimmune diseases frequently accompany this type of hepatitis: autoimmune thyroiditis, Sjogren syndrome, glomerulonephritis, systemic lupus erythematosus, etc.


 

Serology

Serological tests are used to investigate the presence of autoimmune antibodies. There are two classes of autoantibodies: non-organ specific and organ specific.

The non-organ specific are:

ANA, antinuclear.

SMA, antismooth muscle.

ANTIACTIN.

LKA1, liver kidney microsomal 1.

These antibodies are easily assayed and are present in 20 to 80% of patients with autoimmune hepatitis, but they are not specific for liver antigens.

 

The liver-specific antibodies are:

ASGPR, anti-asialoglycoprotein receptor antibodies. They have high specificity for immune hepatitis (88%), but they occur also in 7% of hepatitis B, 8% of alcoholic liver, 14% of primary biliary cirrhosis and in 82 % of patients with anti-ANA and anti-SMA. Therefore ASGPR has more diagnostic value than ANA and SMA.

LP, anti-liver-pancreas antibodies. Present in 33% of patients may by the sole positive antibodies in an occasional case.

LC1, anti-liver cytosol type 1. Prevalent in patients younger than 20 years. Very frequent in children. Typically absent in children with acute fulminant autoimmune hepatitis. It supports the diagnosis of autoimmune hepatitis.

SLA, anti-soluble liver antigen

which is represented by cytocytic keratin 8 and 18, highly specific for autoimmune hepatitis


 

Clinical Subclassification.

 

Based on immunological findings, 3 types of this disease have been proposed.

Type 1: positive for anti- ANA, SMA, Antiactin. It is the most common type in U.S.A. More typical of women. Hypergammaglobulinemia in 97% of patients. It may have fulminant onset and may be discovered at the stage of cirrhosis.

Type 2: positive for anti-LKM1. Predominantly in children. Rare in adults in U.S.A. Patients have more extrahepatic immunologic diseases, lower gamma globulins and higher tendency to develop cirrhosis despite steroid therapy.

Type 3: positive for anti-SLA. Rare in U.S.A. (3%). Most affected young females (20-40). It may rapidly progress to cirrhosis.


 

Variations

 

Thirteen per cent of patients have the clinical and histological disease but lack immunoserologic markers.

for sub classification. These cases are classified as cryptogenic chronic hepatitis or autoantibody-negative autoimmune hepatitis. They are indistinguishable from type 1 autoimmune hepatitis and respond well to steroid therapy.


 

Pathology

The vulnerable area affected by autoimmune hepatitis is the periportal region. There is marked portal and periportal chronic inflammation with lymphocyte and macrophages which spill through the limiting plates encircling periportal hepatocytes,("rosetting") which are destroyed,("piecemeal necrosis")."Bile duct lesion"

may be present (damaged portal bile duct surrounded by a massive lymphocytic reaction).

Connective tissue replaces the lost parenchyma. The portal tract is expanded and assumes a"maple leaf"configuration. Periportal necrosis and fibrosis may extend far rom the portal region and link with an adjacent portal tract forming a bridging necrosis. Cirrhosis may follow. This process is similar to any other chronic active hepatitis. Only the presence of an excessive number of plasma cells and the rosetting phenomenon may indicate an autoimmune process, but their scarcity or absence do not rule out this condition. The histological form of lobular hepatitis especially in relapses is a distinguishing finding from viral hepatitis

 

9-1-1.jpg (50063 bytes) 9-1-2.jpg (48458 bytes) 9-1-3.jpg (48067 bytes) 9-1-4.jpg (38859 bytes)

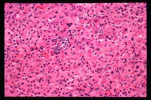
Fig. 9-1-1-Autoimmue

 hepatitis.

A portal field with chronic inflammatory cells, mostly lymphocytes and plasma cells. In this hepatitis, contrary to viral hepatitis plsma c present in a significant number.

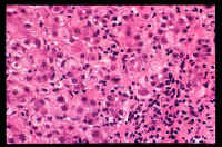
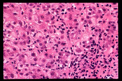
Fig. 9-1-2-Autoimmune hepatitis.

Periportal piecemeal necrosis with chronic

in inflammation, plasma cell reaction and

portal fibrosis.

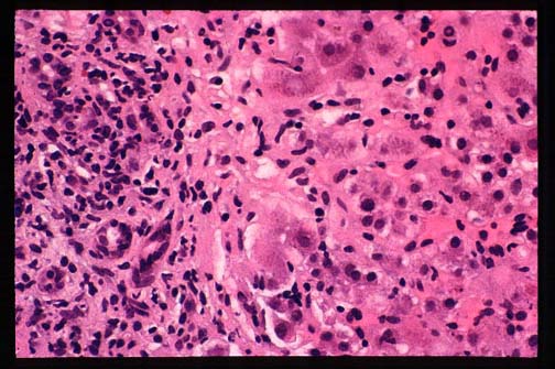
Fig. 9-1-3-Autoimmune hepatitis.

Lobular inflammation and focal necrosis.

 

 

 

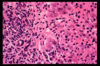
Fig. 9-1-4-Autoimmune hepatitis.

Cirrhotic stage. This patient was a 16 year old

girl affected by hepatitis for only 3-4 years.

Notice the macro nodular appearance of the

liver very similar to viral hepatitis.

 

 


Diagnosis

The following criteria are suggested for diagnosis by the International Autoimmune Hepatitis Group:

-normal serum levels of alpha-1-antitrypsin, copper and ceruloplasmin.

-seronegativity for IgM anti-viral hepatitides.

-seronegativity for cytomegalo and Epstein-Barr viruses.

-no parenteral blood exposure.

-low ethanol ingestion.

-no recent use of hepatotoxic drugs.

-any serum aminotransferase abnormality.

-serum gamma globulin, IgG, >1.5% normal.

-ANA, SMA or LKM1 >1:80 in adults and >1:20 in children.

-liver biopsy to rule out other lesions.

In any suspected case an early diagnosis is mandatory in order to establish the earliest treatment.

 


 

Treatment

The treatment consists of steroids with or without azothioprine. Not all cases need to be treated.

Absolute treatment is needed when:

-transaminases are 10 fold normal;

-transaminases 5 fold normal and serum globulins twice normal.

-Bridging necrosis

-Multilobular necrosis

-Incapacitating symptoms

No treatment is needed:

- minimum transaminases and/or globulin levels.

-minimum or no symptoms.

-inactive cirrhosis.

-liver failure with mild inflammatory activity.

-severe treatment complications.

Liver transplantation. At least 2 weeks of therapy should be attempted before deciding transplantation. Patients with multilobular necrosis and unimproved hyperbilirubinemia require expeditious transplantation.


Prognosis

 

Remission in 55% of patients after 2 years of therapy. Ten year life expectancy in 90% with or without cirrhosis.

Relapse occurs in 50% of patients 6 months after drug withdrawal. Re-treatment induces remission.

Failure occurs in 9% of patients.

Maximum possible response consists of some but no complete response in 3 years of therapy.

Readings: Czaja A J, Medical Clinics of North America, 80:973-994, 1966.(100 references)

CONTENTS