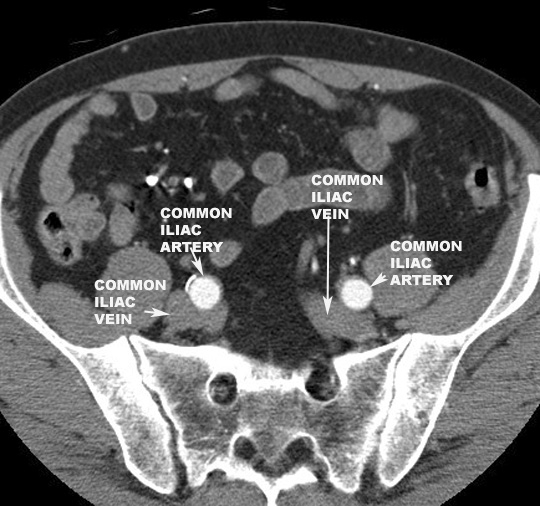
- Origin and course:
- Abdominal aorta ends by dividing at L4
into left and right common Iliac arteries
- About 4-5 cm in length
- Descends downward and outward toward the
edge of the pelvis.
- Travels
inferolaterally for approximately five cm and terminates
as the internal
and external iliac arteries at the level of the pelvic inlet (L5-S1).
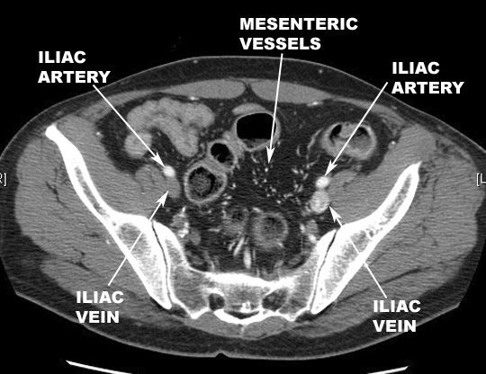
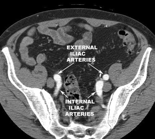
- Branches
- The common iliac artery ends by dividing
into
- Internal iliac artery
- External iliac artery
- Relationship
- Supplies
- Pelvis
- Lower extremities
- Genitals