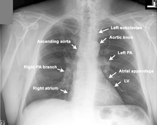
Identify the structures along the edge of the mediastinum. Click the image for labeling.