Renal masses / Renal cancer

What are the common causes of renal masses?
  • Simple renal cysts: Most common in patients over 50 years of age. These cysts are typically asymptomatic.
  • Polycystic kidney disease: A positive test requires:
    • in patients younger than 30 years of age, at least two cysts (unilateral or bilateral)
    • in patients 30-59 at least two cysts in each kidney
    • in patients over 60, four or more cysts
  • Abscess
  • Renal cell carcinoma
The surgical specimen consists of a whole kidney and attached ureter (B). There is a large, irregular carcinoma (A) in the superior pole of the kidney.
Normal kidney
What are the imaging findings from renal cancer?
  • Mass
  • Cystic
  • Calcified mass
  • Most enhance, but less than kidney
  • Invasion of renal vein and IVC
  • Neovascularization

Following are examples of renal mass in imaging procedures:

CT scan in a patient with Renal Cell Carcinoma

  • Arrow points to solid hypodense mass in left kidney .
  • Arrowheads poing to normal parenchymal enhancement.

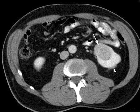
CT scan in another patient with Renal Cell Carcinoma

  • Mass is cystic and solid.
  • Tumor nodules are seen arising from the wall of the cyst.
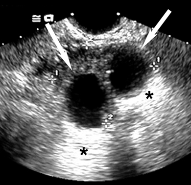
Renal cyst presents as a "renal mass" in imaging procedures.

Ultrasound can easily distinguish renal cysts from mass lesions.

Simple Anechoic Renal Cysts

Arrows points to cyst.

* Points to  good through transmission of echoes behind the cyst.