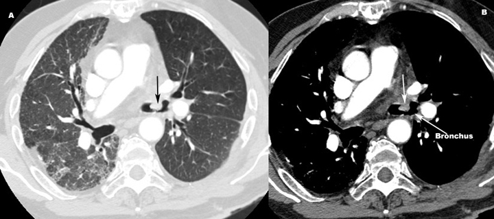
Endobronchial Mucus Plug

 

Next