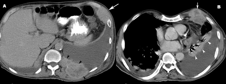
Pleural effusion

  • In CT you can easily recognize masses in the presence of effusion.
  • Mass in chest wall in multiple locations.
  • White arrowheads point to collapsed left lower lobe.

Next