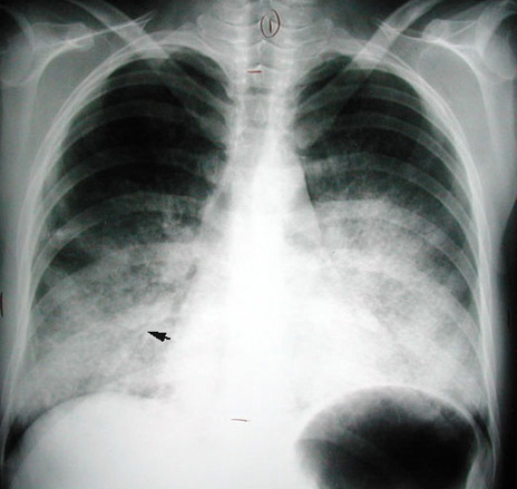
Alveolar Proteinosis

Butterfly distribution.

Air bronchogram (arrowhead).

Patient has chronic diffuse bilateral alveolar disease.

Next