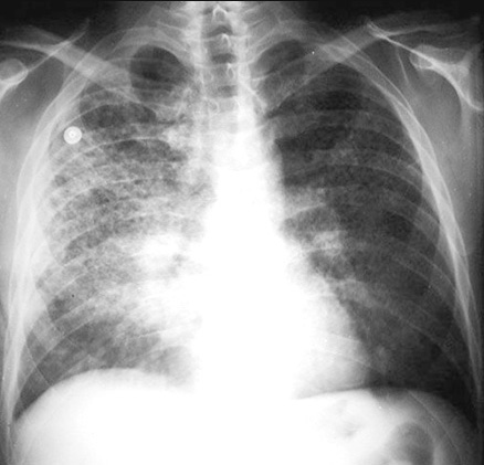
End Stage Interstitial Fibrosis

Note "honeycombing" evident in right middle and upper lung field.

In end stage interstitial fibrosis, there is dilatation of bronchioles which presents as cystic spaces.

 

Next