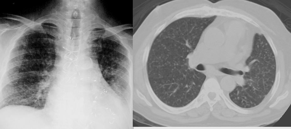
Widespread bilateral <5 mm nodules. Patient has had coronary bypass surgery and has cardiomegaly . CT from a different case shows widespread bilateral nodules less than 6 mm in diameter.
 

Next