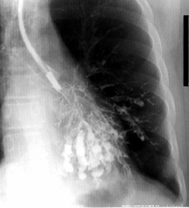
Bronchogram

Saccular Bronchiectasis left lower lobe. Bronchograms are rarely done nowadays.

Next