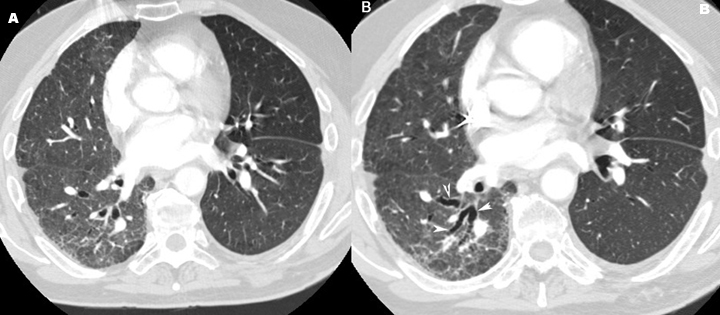
Bronchiectasis

  • A: Note artery next to dilated bronchi (signet ring).
  • B: Arrowheads point to bronchiectasis of lower lobe on right as dilated tubular shadows.

Next