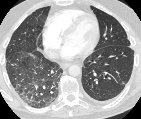
Bronchiectasis

  • Arrowheads point to bronchiectasis of lower lobe on right.
  • Note artery next to dilated bronchi (signet ring).

 

Next