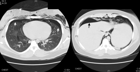
Lower cuts confirmed bilateral pneumothoraces and a pneumoperitoneum.

Next