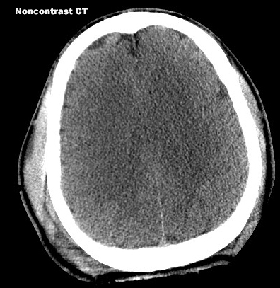
Diffuse Brain Edema

Findings: Absence of sulcal markings and poor differentiation of white and grey matter.