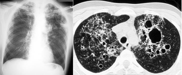
Pneumocystis Carinii pneumonia

This CT of a patient with AIDS shows numerous thin walled cavitary upper lobe lesions, residual of PCP pneumonia.

Next