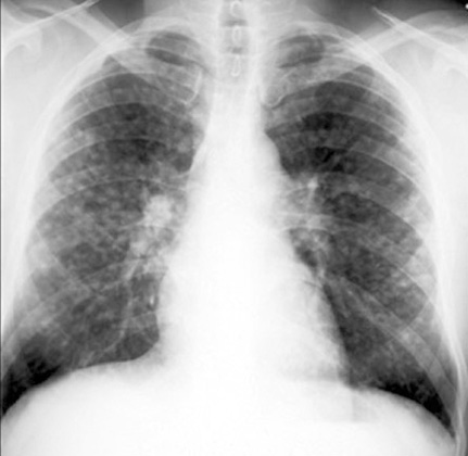
Sarcoidosis
Miliary Nodules
Next