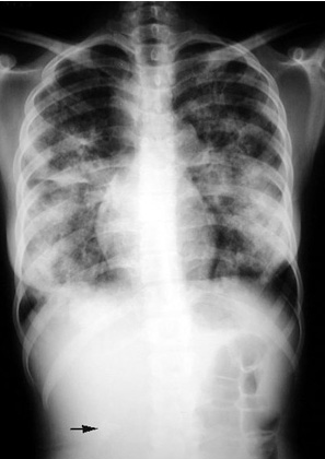
Sarcoidosis

Renal stone

Presented with renal stone and hypercalcemia

 

                                   

 

Next