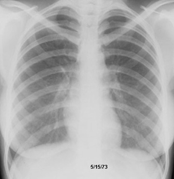
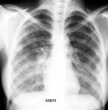
Sarcoidosis Spontaneous regression
Pulmonary function improved along with radiological clearance.
Next