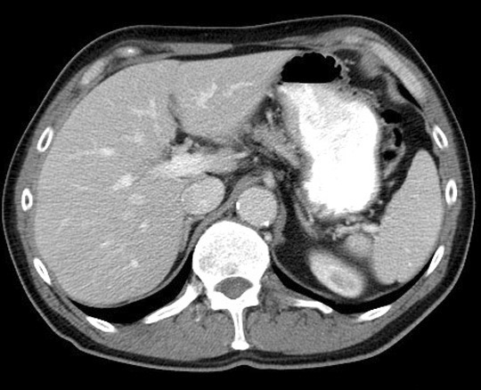
Portal Vein. Click the image for labeling.