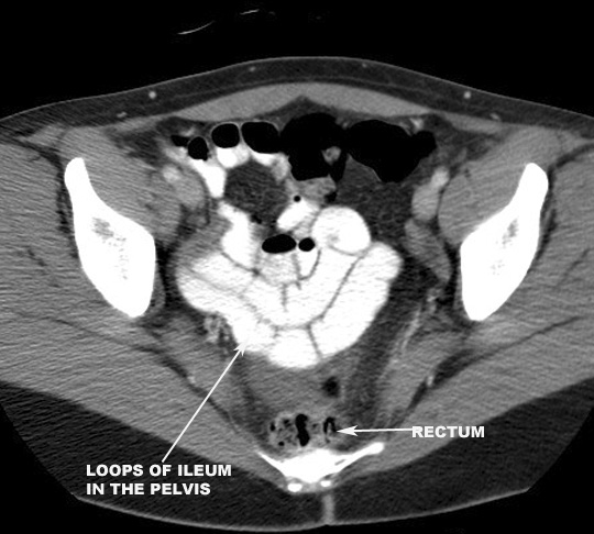
Where is the ileum usually located? Click the image for labeling.