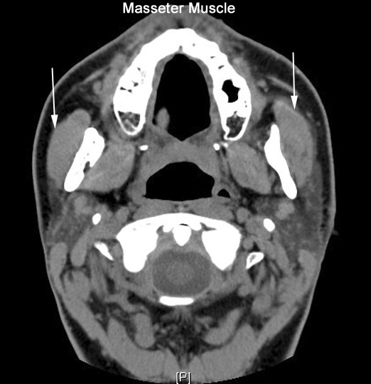
Identify the masseter muscles. Click the image for labeling.