Brain edema

Local mass effect or edema appears as a surrounding darkness (CT) or bright signal (T2 weighted or FLAIR series MRI) around the lesion itself.

Contrast may help delineate the lesion within the surrounding edema.

Greater mass effect may produce lateral shifts of cerebral hemispheres beneath the falx (across the midline) or down the foramen magnum.

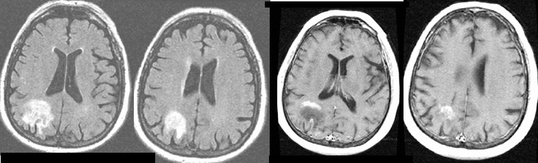
Clinical:

M-81 with a few months of confusion, poor memory, 2 car accidents, getting lost, misplacing items; left homonymous hemianopsia noted on exam.

Brain MRI (first 2 scans, FLAIR) shows a right parieto-occipital area of high signal from peritumoral edema, with the last two scans showing areas of gadolinium enhancement within the tumor itself