VIRAL HEPATITIS A



This ancient liver disease is caused by a virus which was identified only in 1973. The disease was previously called "infectious hepatitis" because it was known that the infection was orally transmitted contrary to the other type of hepatitis which is transmitted by blood and therefore called "serum hepatitis". Under the impression that there were only two forms of hepatitis it seemed logical to call them with the first letters of the alphabet: A and B. Hepatitis A, of all forms of viral hepatitides, is the most frequent but the most benign.

The virion

Fig 87 - THE VIRION: The virus is small, 27nm in diameter, of the Picornaviridae (pico=very small) rna family. It was taught to be an enterovirus but, because of several differences from enteroviruses, it has been assigned to a separate genus, that of Hepatovirus. It is spherical with a protein shell which encapsidates a single stranded RNA of over 7000 bases. The structure is icosohedral. The viral proteins (VP) are conformational and therefore are not suitable to raise antibodies. The intact viral particle, on the other hand, is very immunogenic.

Replication: After entry into the host cell, the virus loses the capsid and the uncoated RNA induces the host cell to produce the viral polyprotein without shutting off the protein synthesis of the cell. Among the viral proteins there is a protease for the synthesis of structural proteins and a polymerase for the replication of viral RNA which becomes rapidly encapsidated into new viruses.

Cultivation in vitro: The virus grows poorly in primate cellular cultures and loses virulence by in vitro passages.

Route of entry and Progress of infection: The virus is acquired by ingestion. It multiplies in the intestine and invades the blood, liver and saliva before any clinical manifestation of the disease appears. This period of incubation lasts an average of 4 (2-6) weeks. The virus disappears soon after the peak of serum transaminase is reached at which time the immune response and the hepatocellular damage start. This indicates that the damage is immunologically mediated. Indeed at this time NK (natural killer) cells, circulating or local in the liver (Pitt cells), are activated. CD8+ cytotoxic T lymphocytes that secrete gamma interferon infiltrate the field.

Clincal features: Most infections occur in children in whom the disease in most cases is either asymptomatic or symptomatic without jaundice. In adults, the infection is more severe with general symptoms malaise and jaundice; however hepatitis A is not very debilitating even in the presence of jaundice. Fever does not go above 39 degrees centigrade. Jaundice lasts for 7-10 days and the whole illness lasts about 4 weeks. Relapses however do occur especially in patients who resume drinking alcohol or exercise and may go on for 6 months. Typically all clincial forms with the exception of the lethal fulminant type resolve with complete liver regeneration without chronicity or long-term carrier state.


CLINICAL FORMS


ASYMPTOMATIC

73% children adults

SYMPTOMATIC WITHOUT JAUNDICE

Gastro-enteric form

SYMPTOMATIC WITH JAUNDICE

65% children adults

RELAPSING

3.8-6.6%. It occurs on an average of 4 weeks after remission and can occur more than once. Relapses may rpesent as any clinical form including fulminant lethal type. Normally it terminates in complete resolution.

CHOLESTATIC

Prolonged clinical course with marked jaundice lasting up to 8 months. Serum bilirubin is 10-20 mg and higher. In spite of this jaundice, the patient feels well and regains. It mimics biliary obstruction, therefore it must be recognized in order to avoid looking for other cholestatic anomalies of the liver. It responds to a short course of oral prednisone.

FULMINANT

It is very rare, 0.5% of cases. Survival with good medical treatment may be 80%. With liver transplantation it may be 55-75% and the graft may become infected with hepatitis A virus but, in general, with a benign resolving clinical form.

EXTRAHEPATIC INVOLVEMENT

Very rare; arthritis, vasculitis, oliguria, urticaria.

VIRAL HEPATITIS A IN PREGNANCY

There is more incidence of fulminant form, however in developed countries pregnant women do like non-pregnant ladies. This indicates that the state of nutrition might make the difference.

CHRONICITY

None


Laboratory Diagnosis (1)

Fig 88 - LABORATOR DIAGNOSIS (1): 1-Serum IgM antibody is present during the acute phase and disappears in 3 months. It may last up to 2 years in a few cases. The test is 100% sensitive and very specific.
2-Serum IgG antibody develops after the acute illness and persists for life, representing immunity.
3-Demonstration of virus in liver, feces and blood is impractical. The virus is present in these fluids before the symptoms appear therefore the patient is infectious before he is known to be sick.
4-Jaundice usually lasts 7-10 days and its degree is not related to the outcome of the illness.
5-Serum transaminase rise with the acute illness and return normal with recovery. They seldom are higher than 1000. There is no correlation between their level and prognosis.


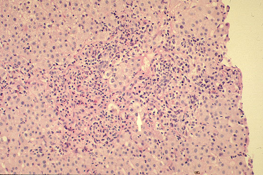
PATHOLOGY

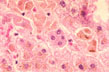
Portal and periportal inflammation

Fig 89 - PORTAL AND PERIPORTAL INFLAMMATION: Presence of both lobular and portal inflammation. This illustration shows marked protal and periportal inflammation with some hepatocellular ballooning degeneration.

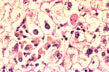
Lobular inflammation

Fig 90 - LOBULAR INFLAMMATION: Notice intralobular inflammatory cell, few shrinking apoptotic cells (Councilmann bodies), many swollen hepatocyte and binucleate hepatocytes indicating accelerated liver cell renewal.

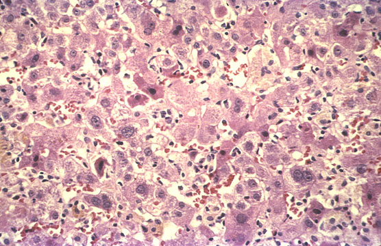
Confluent necrosis

Fig 91 - CONFLUENT NECROSIS: Death of adjacent groups of hepatocyte throughout the lobule. Confluence of many spotty necroses. Notice glycogen (red granules) depletion on damaged hepatocyte..

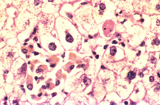
Hepatocellular damage

Fig 92 - HEPATOCELLULAR DAMAGE: Some hepatocytes are swollen and clear (hydropic degeneration). One is shrunken and dark with rests of nuclear disintegration (apoptotic cell, Councilmann body). There is a group of Kupffer cells with bile and lipofuscin granules in their function as scavenger cells.

Cholestatic form of viral hepatitis A

Fig 93 - CHOLESTATIC FORM OF VIRAL HEPATITIS A: Marked cholestasis with intracytoplasmic yellow granules of bile and bile thrombi in canaliculi. Thes cholestatic changes are seen in cases of prolonged jaundice. (See cholestatic clinical form above in this chapter).


EPIDEMIOLOGY

The transmission is fecal-oral. Incubation is 5-45 (average 28) days. Endemic in countries with poor sanitation.


PREVENTION, VACCINATION

Pre-exposure A person preparing for travel or to contact an affected individual or a pregnant lady should first check serum IgG level for HAV immunity. If the test is positive, no immunoprophylaxis is necessary. The immunization is achieved with Serum Immunoglobulin (SIG) or with inactivated polio vaccine (the first one marketed by Smith Kline, Beecham Biologicals, Rixensart, Belgium, under the name of Havrix).
Post-exposure Serum immunoglobulin (SIG) must be administered within 2 weeks after exposure in the amount of 0.02 ml/Kg. Antibody level induced by this treatment is low and cannot be measured by standard methods. The main side effect of immunoglobulin injection is considerable soreness in the injection site. The cost is low.







CONTENTS