li-11-8       HEPATIC ALLOGRAFT REJECTION       by  Dr.  Grace Hartman

                                                                            and Dr.  E.Orfei


Classification

The transplant rejection in the liver is classified, as in other organs, in hyperacute, acute and chronic.

 In liver transplants about 40% of patients prophylactically treated with cyclosporine and cortisone don't have any rejection; 40% will have one episode of rejection. Occasional patients may have an accelerated rejection with massive liver necrosis, severe jaundice and very elevated serum transaminases.

Hyperacute rejection, antibody-mediated, is extremely rare in the case of liver transplant with prophylactic immunosuppression, even in a  mismatched case.

Acute rejection is rarely seen before the 4th post-transplant day. It may appear between the 4th and the 14th day after transplant. Some centers perform routine liver biopsy on the 7th post-operative day because of the frequency of rejection starting at that time.

Chronic rejection may complicate an acute episode or  may appear de novo after several months an may persist for several months thereafter. It is usually progressive. 

Diagnosis

The diagnosis is made by clinical symptoms, liver function tests and liver biopsy.

Clinical symptoms may be totally absent or may consist of fever , leukocytosis, jaundice and tenderness over the graft. The leukocytosis will contain lymphoblasts. Blood eosinophilia >500 eosinophils /cubic mm in the blood is a good  test and present in 98% of liver transplants rejection.. Fine needle aspiration with evaluation of presence of  inflammatory cells could provide valuable results in recognizing presence  of rejection and in monitoring the response to immunosuppression therapy.

Liver function tests may show elevated serum bilirubin, aminotransferases, alkaline phosphatase and prothrombin time.

 


 

Pathology

The biopsy findings in liver transplant are the most complex of the hepatic pathology because a transplanted liver besides cellular rejection may become affected by other ailments such as: sepsis, biliary obstruction, arterial insufficiency, drug hepatitis caused by immunosuppressive compounds and by  hepatitis caused by viruses such as: HBV, HCV, CMV, EBV.

 

Pretransplant biopsy of donor liver. There should be no portal expansion and no portal inflammation and minimal portal fibrosis. Hepatocytes may show microvacuolization especially in the pericentral area. Small foci of parenchymal necrosis my be present, due to the trauma of harvesting and storage.

 

Post-transplant baseline biopsy. Few neutrophils may be seen in the sinusoids, effect of organ manipulation. The portal fields are normal. The hepatocytes look empty due to microvacuolation.

 

Minimal allograft rejection, "graft recognition". Presence of few lymphocytes in portal spaces, announcing an impending rejection. The vacuolation of hepatocytes is disappearing.

 

Hyperacute rejection: this primary humoral rejection, which can be observed within minutes or hours after kidney transplant, is very rarely seen in liver tranplants with prophylactic immunosuppression even in mismatched cases. It is characterized by acute necrotizing vasculitis including arterial thrombosis causing failure of the graft to become vascularizid. The vascular lesion is induced by complexes of antibodies and histocompatibility antigens released by injured cells during transplantation. This  process ends in massive liver necrosis and terminates in death. IgG, IgA, IgM antibodies and complement can be demonstrated in the injured vessels by immunofluorescence. A florid atherosclerosis with ballooned lipophages may develop in larger arteries, consequently the transplanted organ  never becomes  well vascularized and  undergoes ischemic destruction.

 

Acute hepatic rejection. It is graded in mild, moderate and severe. 

Mild acute rejection. There is mild portal inflammation and slight periportal inflammation with mononuclear cells( helper T lymphocytes an suppressor/cytotoxic T lymphocytes), some neutrophils and eosinophils.

There is minimal bile duct damage. Only some swelling or pyknosis of bile duct epithelium. The hepatocye vacuolation has disappeared. There may be bollooning of hepatocytes, focal necrosis and even bridging necrosis. There is often centrolobular cholestasis.

Endothelialitis is considered by some  the most specific sign of rejection. It is characterized by the adherence of small lymphocetes to the endothelium and subendothelium of portal and central veins. 

The changes of rejection resemble those of Graft vs. Host Disease, but the latter involves also. the skin and the intestine and it does not occur in transplants of solid organs which are washed out of their lymphocytes.

Moderate acute rejection. There is more  bile duct damage. Swelling, pyknois, cellular loss of ductal epithelium, lymphocytic infiltration of epithelium. There is also more portal and periportal inflammation and more cholestasis.

Severe acute rejection. Bile duct degeneration is severe with disappearance of bile ducts and portal fibrosis similar to the non-suppurative duct injury of graft-versus host disease and of primary biliary cirrhosis Portal and periportal infllammation are prominent. There may be endothelialitis of portal an central veins. There is severe focal lobular necrosis of hepatocytes especially centrolobular with marked cholestasis. Bile ductules may be filled with bile plugs.

 

Vanishing bile duct syndrome: About 10% of transplanted liver patients develop this syndrome within 100 days after the procedure. The lesion is irreversible and requires retransplantation.

It starts abruptly with fever chills. jaundice, lethargy and ascites. Serum bilirubin and alk. phosphatatse become very elevated

Histologically there is  marked ductopenia in " burnt out" portal areas devoid of inflammatory cells. The few lymphocytes present are Leu 4+ and Leu 2a suppressor/cytotoxic T .


 

Differential Diagnosis

Other conditions may affect the transplanted liver and may pose a difficulty in the diagnosis of transplant rejection. These conditions are: 

-Viral hepatitis

-Massive hepatic infarct due to thrombosis of hepatic artery.

-Thrombosis of hepatic veins.

-Extrahepatic biliary obstruction.

-Infectious cholangitis.

-Parenchymal cholestasis without inflammation , so-called functional graft failure.

-Reaction to drugs especially to immunosuppressive agents.

-Recurrence of primary liver disease.

-Insurgence of  malignancies especially of lymphoid organs, more frequent in transplanted patients.

 

ILLUSTRATIONS

 

 

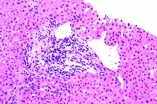
                               Figli-11-8-1.jpg (54199 bytes). 11-8-1. Acute rejection, moderate.

Portal and mild periportal inflammation with some neutrophils and eosinophils. Moderate bile duct damage. Changes similar to Graft vs. Host Disease but the later involves also the skin and the intestine.

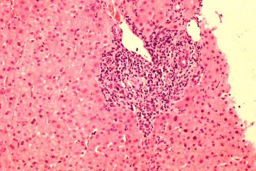
                                Fig. 11-8-11-8-3.jpg (100554 bytes)2. Severe acute rejection.

Elimination of intrlobular bile ducts. portal and periportal inflammation is lighter. Bile ductules start to proliferate. Also portal fibrosis is evident

 

li-11-8-4.jpg (76084 bytes)Fig. 11-8-3. Vanishing portal bile ducts.

Marked ductopenia. Few inflammatory cell, Leu4+ and Leu2a suppressor/cytotoxic T.

li-11-8-5.jpg (91331 bytes)Fig.11-8-4.Centrolobular necrosis.

Spotty necrosis may be seen in severe rejection. The necrosis is more frequently present in centrolobular area

li-11-8-6.jpg (58499 bytes)Fig. 11-8-5. Intralobular cholestasis.

Marked centrolobular intacytoplasmic and canalicular cholestasis, clinically evident with severe jaundice.

li-11-8-9.jpg (117096 bytes)Fig.11-8-6. Chronic vascular rejection.

Severe arterial atheromatosis involving the entire length of the artery. It starts with lymphocytic exudation of the intima which becomes thickened  and finally becomes invaded by cholesterol laden macrophages. The transplanted organ suffers ischemic destruction.

 

 

TO CONTENTS

Review of Pathology of the Liver:Table of Contents