TISSUE CHANGES



Necrosis at tissue level according to type is listed as:
  • FOCAL:  groups of hepatocytes in sparse areas, low severity
  • MULTIFOCAL:  groups of hepatocytes in multiple areas; it may be very severe
  • ZONAL:  it refers to the 3 zones of the lobule
  • CONFLUENT (bridging):  connecting portal field to portal field, portal field to central vein and central vein to central vein
  • PANACINAR SUBMASSIVE:  of all 3 zones in some lobules. It may carry a good prognosis.
  • PANACINAR MASSIVE:  involvement of all zones of the acini in all lobules. It is fatal.
According to location is listed as::
  • INTRALOBULAR PERIPORTAL (piecemeal) DUCTAL ARTERIAL
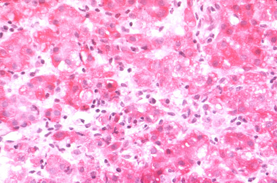
Focal necrosis

Fig 44 - FOCAL NECROSIS: A focal area where a group of hepatocytes are necrotic and the area is infiltrated by inflammatory cells which in this case are mainly lymphocytes. Other times the reaction may be histiocytic as for example in granulomatous lesions. A light lesion.

"Multifocal necrosis"

Fig 45 - MULTIFOCAL NECROSIS: PaMultiple focal areas of liver cell damage that can be very serious. In this slide the damaged cells are the light ones which have lost their glycogen content represented by the red granular material that stains red with the PAS reaction.

Confluent necrosis

Fig 46 - CONFLUENT NECROSIS: This necrosis is not spotty but involves masses of cells distributedi a certain region of the lobule and therefore it is:
1-ZONAL when it affects one of the 3 zones of the lobule:
centrolobular, perilobular, midlobular.
2-BRIDGING when it occurs between the portal fields and central veins: porto-portal, porto-central, central-central.








CONTENTS