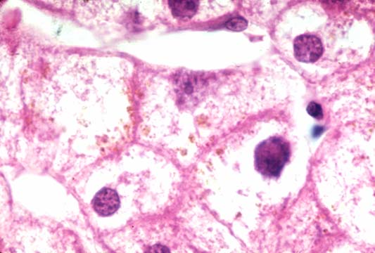
CELLULAR CHANGES:Pigments




Fig 40 - LIPOFUSCIN
D-PAS
+ acid fast
+ autofluorescent.
Intralysosomal.
Increases in brown atrophy.
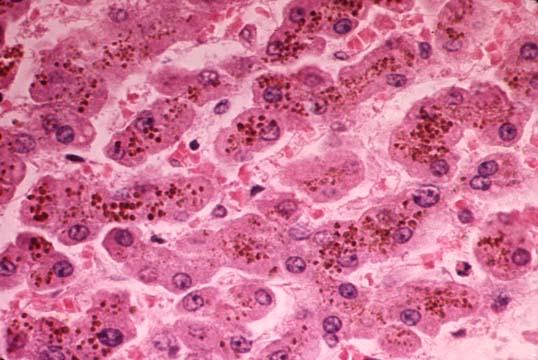
Fig 41 - HEMOSIDERIN
Prussian blue
+ Trivalent iron.
Intralysosomal
In:  Hemochromatosis
& Hemosiderosis.
  
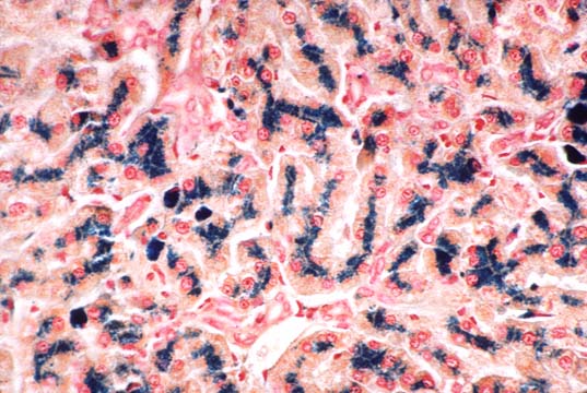
Fig 42 - COPPER
Rhodamine
+ intralysosomal.
In cerulopalasmin synthesis.
In:  Wilson's disease
Chronic cholestasis
(From Am. Assoc. Study
of Liver Disease. 1991)
Fig 43 - DUBIN-JOHNSON
Brown-black
concentrated in zone 3
Probably melanin
In:  Dubin Johnson Syndrome



CONTENTS