CELLULAR CHANGES


Councilmann body

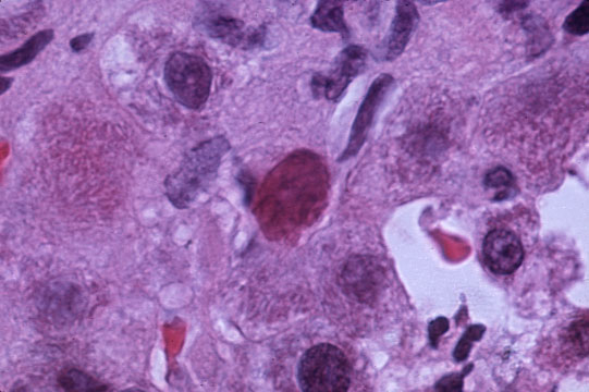
Fig 26 - APOPTOSIS: This form of cell death appeares to be the normal way cells are renewed in every tissue.The cells condense,become round or spherical,separate from other cells,fragment and are phagocytized by histiocytes.This is the way lumina develop in tubular structures, limbs are fashioned, organs re reabsorbed in the metamorphosis of larvae and tailes are lost by tadpoles.The cells become dehydrated, and retain their organelles.There is no inflammatory reaction.In the liver the apoptotic cells are called Councilmann bodies.(1) (2).

"balloon cells"

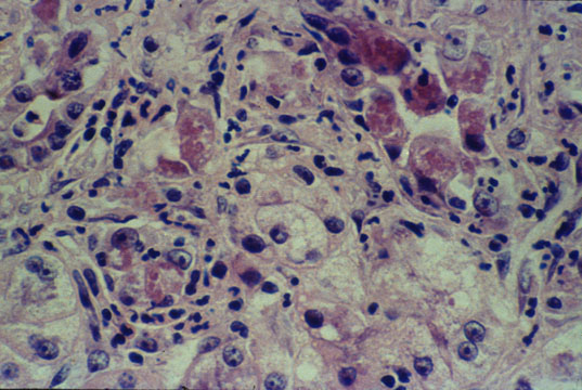
Fig 27 - NECROSIS: Pale stained swollen,"ballooned" cells,edematous with swollen nuclei,undergoing lytic necrosis and accompanied by inflammatory reaction.EM shows marked dilatation of endoplasmic reticulum.

Coagulation necrosis

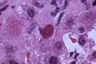
Fig 28 - COAGULATION NECROSIS: The cells are eosinophilic,moderatly shroncken with angulated borders and pyknotic nuclei.The cells are flat.The change may be reversible.Absent or mild inflammatory reaction.Reticulin is intact.It is the result of ischemia,toxicity, surgical artifacts.The illustration is from a case of acute passive congestion due to acute myocardial infarct.

Mallory bodies: H&E stain

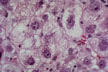
Fig 29 - MALLORY BODIES: Chains of sharply defined cytoplasmic globules mostly surrounding the nucleus in an enlarged,ballooned clear cell. They are composed of masses of intermediate keratin filaments from cytoskeleton Irregular in size and shape.They are demonstrable by H&E,Mallory stains and by immunostains for keratin.By EM three types can be recognizedz:Type I=parallel filaments;Type 2=randomly orientd filaments;Type 3=granular material with some filaments at periphery.Seen in hepatocytes of alcoholics and other conditions, in bile duct eithelium and in alveolar cells in asbestosis. Not diagnostic for any specific disease.It is postulated that the collapse of the filaments toward the center makes the cell to expand and undergo necrosis.





(1) Kerr JFR,WillieAH,Currie AR:British J of Cancer:26:239-257,1972
(2) apo'ptosis= falling off in greek language.This name was prposed by prof.James Cormack, Aberdee University, UK,Dep. of greek.



CONTENTS | CELLULAR CHANGES (Cont.)