li-8-2            ALCOHOLIC LIVER DISEASE



Pathology
Ethanol is the chemical compound most responsible for liver damage in some parts of the world. In the liver it causes two basic changes: 1) alcoholic fatty infiltration and 2)alcoholic hepatitis. The latter is more severe than the former because alcoholic hepatitis when is persistent invariably terminates in cirrhosis. The following lesions can be morphologically recognized.

1-Alcoholic steatosis.
2-Alcoholic hepatitis.
3-Fibrosis.
4-Phlebosclerosis.
5-Cirrhosis.
6-Hepatocellular carcinoma.
7-Alcoholic siderosis.

1-ALCOHOLIC STEATOSIS
It occurs in two forms macrovesicular and microvesicular. It starts and it is most severe in the central perivenular area but it may involve the total surface of the lobule (panacinar).

Macrovesicular alcoholic steatosis
Presence of large sharp fat droplets in hepatocytes. The nuclei are in peripheral location. Some vacuoles coalesce and form large cysts. There is usually minimal focal inflammation. In some cases there may be cholestasis which may become severe and fatal. Superimposed viral hepatitis may be the cause of these complications. Uncomplicated fatty infiltration produces hepatomegaly but no other clinical or biochemical changes. About 65 % of chronic heavy drinkers may develop this type of steatosis. Perivenular central zone of the lobule is initially involved but the entire lobule may be affected (panacinar steatosis). The accumulation of fat is attributed to a defect of secretion of lipoprotein by the hepatocytes due to a defect of protein synthesis resulting from interference of alcohol with assembly of tubulin into microtubules (Baraona E. et al. J Clin Invest 60:546-54,1977). The best method to demonstrate fat is osmium tetroxide fixation.

Microvesicular alcoholic steatosis. (Foamy steatosis)
This form of steatosis occurs more rarely and consists of groups of foamy hepatocytes containing small fat droplets throughout the cytoplasm. The nuclei in these cells are centrally located. There is macrovesicular steatosis, focal necrosis and cholestasis in other areas of the same tissue but no Mallory bodies are seen. Clinically there is jaundice and elevation of alkaline phosphatase but no fever or leukocytosis like in alcoholic hepatitis. Microvesicular changes appear to be the first stage of hepatic decompensation. (Uchida, Gastroenterology 84:683,1983). It will resolve without complications with the cessation of alcohol.

Diagnosis of steatosis can be made only by liver biopsy because the liver function tests in use are usually normal. The biopsy is performed also with the intend to of detecting eventual complications such as fibrosis, inflammation etc.

Prognosis.
Uncomplicated alcoholic fatty liver or even with minimal fibrosis will return to normal in 4 to 6 weeks of abstension from alcohol.



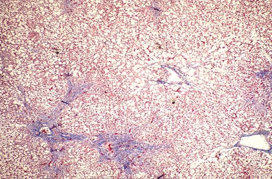
Fig.153-Alcoholic steatosis

Panlobular.Vesicles are larger
in the center of the lobule.
notice perivenular fibrosis/.

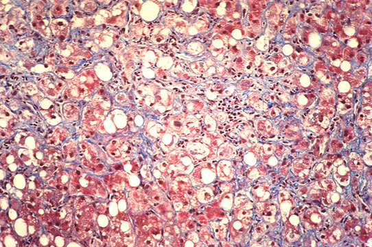
Fig.154-Alcoholic steatosis

Macrovesicular

Fig.155-Alcoholic steatosis

Microvesicular

2-ALCOHOLIC HEPATITIS
It is a necroinflammatory lesion occurring in the centrolobular area and characterized like any other hepatitis by necrosis, inflammation and fibrosis.

1- Necrosis is focal or confluent in the perivenular central zone of the lobule and consists of ballooning degeneration with or without Mellory bodies, giant mitochondria and, very rarely, acidophilic cells.

2- Inflammation consists of infiltrates of neutrophilic leucocytes around necrotic hepatocytes especially those containing Mellory bodies.

3-Fibrosis develops in persisting cases and may be pericellular, perivenular and bridging from central vein to an adjacent central vein according to the extent and the duration of the lesion. Lympho-histiocytic infiltrate accompanies the fibrosis. In some cases a veno-occllusive lesion of central and sublobular veins can be observed.

Mallory body formation is the result of damage and aggregation of intermediate filaments of hepatocytes.

The function of these filaments is that of maintaining the shape and the volume of the cell. Their destruction causes ballooning dilatation and cytolysis. Presence of Mallory bodies in alcoholic hepatitis is not pathognomonic but it is significant if they are seen in the central zone of the lobule.

Diagnosis of alcoholic hepatitis
is made by history and clinical and laboratory findings. The most useful biochemical test is GGT (gamma glutamyl tranferase). Alcohol stimulates the synthesis of this enzyme by the liver. It is however not specific for alcoholism because other compounds (phenobarbitone, phenytoin) produce the same effect on this enzyme. Moreover it can be low in decompensated cirrhosis and in drinkers of many years duration. If its elevated lvel falls after one week of alcohol abstention, it is diagnostic for alcoholism.

Prognosis of alcoholic hepatitis
In a group of patients who abstained from alcohol and were followed for 9 years with repeated biopsies (Galambos, Gastroenterology 63:1026,1972), 27% showed normal histology; 55% had persistence of the lesion; 18% developed cirrhosis.

3-ALCOHOLIC FIBROSIS
Fibrosis may complicate both, alcoholic fatty liver and alcoholic hepatitis.The following forms of fibrosis with increasing severity can be observed.
Perivenular fibrosis.
Occlusive venous fibrosis
Sclerosing hyaline necrosis
(massive fibrosis in central lobular area).

Fibrosis In fatty liver.
It starts in the perivenular region and extends into the sinusoids of the central zone in a pericellular fashion forming a fine reticulum around individual hepatocytes to assume a chicken wire configuration. The wall of the central vein becomes surrounded by a thick layer of collagen. Fibrosis in fatty liver is not accompanied by any sign of hepatitis. No necrosis , no inflammation , no Mallory bodies. If alcohol consumption continues the fibrosis will increase and terminates in cirrhosis in about 20% of patients. In summary the following fibrotic patterns can be seen:
Perivenular fibrosis.
Pericellular sinusoidal fibrosis.
Chicken wire fibrosis.

These types of initial fibrosis may resolve with abstention.
The recognition of fibrous complication of fatty liver is important because it involves a prognosis poorer than simple uncomplicated fatty liver.

Fibrosis in alcoholic hepatitis
Initially it is seen in perivenular region and in foci of necrosis. It progresses to become pericellular and massive in the central area and may cause occlusion of the central veins with production of portal hypertension without cirrhosis. From necrotic areas fibrosis may become confluent and form bridging septa, central-central and portal-central. Fibrosis is accompanied with inflammation.
The extent of necrosis and fibrosisand inflammation correlate with the progression of the liver injury.


Fig. 156-Alcoholic fibrosis

Pericellular "chicken wire"
fibrosis.

Fig. 157-Alcoholicfibrosis

Centrolobular fibrosis

Fig.158-Alcoholic steatosis

Fat globules fixed with
osmium tetroxide

Prognosis of alcoholic fibrosis.
Initial fibrosis in maro and micronodualr fatty liverwillresove with alcohol abstension.
Severe fibrosis may progress to cirrhosis even without continuation of alcohol consumption. Factors affecting progression to cirrhosis are: continuing drinking; severity of the initial lesion and sex, females being more affected than males.(Pares, j Hepathology 2:33,1986).

4-ALCOHOLIC CIRRHOSIS
It occurs in circa 20% of alcoholics. In people that continue to drink the cirrhosis is micronodular and regular with 3-4 mm nodules. In people who stop drinking, the cirrhosis may be macronodular with large dissecting nodules retaining portal tracts and central veins and presence of wide scars and regenerative nodules. Changes of alcoholic hepatitis and steatosis may be present. Globules of alpha-1-antitrypsin and copper granules may be seen in hepatocytes at the periphery of regenerative nodules. For the evolution and complications of cirrhosis consult the chapter on cirrhosis in this program. Alcoholic patients with cirrhosis may suddenly die of liver failure. A superimposed hepatitis especially due to HCV is most often found in these cases.
separated from hemochromatosis which may occur in alcoholics.

5- HEPATOCELLULAR CARCINOMA
It arises in 5 to 15 % of alcoholic cirrhoses especially macronodular type. Macronodules in alcoholic cirrhosis are the result of regenerative nodules which from hypaerplasia may evolve into dysplasia, benign neoplasia (hepatocellular adenoma) and maignant neoplasia (hepatocellular carcinoma). For the same reason, the incidence of carcinoma is increased in cirrhotic patients with porta-cava shunt permitting the nodules to receive more arterial blood favoring cellular growth.

6-ALCOHOLIC SIDEROSIS
Increased stainable iron is encountered sometimes in considerable amounts in most alcoholics probably due to iron content of alcoholic beverages. Obviousely alcoholics may be affected also by hemochromatosis.

7-ALCOHOLIC PHLEBOSCLEROSIS
In all cases of alcoholic hepatitis and alcoholic cirrhosis one of three types of venous changes are seen:

1-Lymphocytic phlebitis
2-Perivenular fibrosis (of terminal central veins)
3-Veno-occlusive fibrosis (of large hepatic vein branches)
Portal hypertension correlates with the degree of phlebosclerosis.

8-ALCOHOL METABOLISM
Absorption. It is absorbed mostly in the duodenum and upper jejunum. Food delays absorption. High concentration in the stomach may delay gastric emptying.
Distribution. It is related to the water content or various tissues. It is poorly soluble in lipids, therefore a fat person has a higher blood concentration of alcohol. Concentration in urine is higher than blood. Alcohol passes immediately in highly vascularized organs. It passes immediately to the brain. It easily diffuses to the fetus, the amniotic fluid acting as reservoir in utero.
Excretion: 95 % is eliminated by oxidation to water and carbon dioxide. About 3% is eliminated through the lungs. Very small amounts through the urine.
Catabolism. It oxidized mainly in the liver and much less in other organs especially stomach , intestine, kidney , bone marrow. The oxidation proceeds in steps.
1-Alcohol to acetaldehyde in cytosol, microsomes and perixosomes.
2-Acetaldehyde to acetate in mitchondria.
3-Acetate to water, carbon dioxide, fatty acids in other tissues.

Transformation of alcohol to acetaldehyde occurs in three places.
1-Cytosol. Alcohol Dehydrogenase is the enzyme that catalyzes the oxidation of ethanol and of all other alcohols to acetaldehyde in the cytosol. It catalyzes also the oxidation of endogenous and exogenous steroids and omega oxidation of fatty acids. This enzyme contains 4 atoms of zinc. By this reaction alcohol looses on atom of hydrogen ad is transformed into acetaldehyde. The atom of hydrogen is accepted by nicotinamide adenine dinucleotide (NAD) which becomes reduced to NADH. In order to utilize again this cofactor for other important reaction, NADH must be reoxidised. This reoxidation occurs in the mitochondria. But, if the mitochondria are damaged by alcohol the reoxidation is prevented and an excess of reduced cofactor NADH is produced and synthesis of other compounds such as proteins , lipids and carbohydrates is impaired.
Microsomes. Microsomal Ethanol Oxidizing System (MEOS). This reaction is catalyzed by a cytochrome P-450. The product is acetaldehyde. In chronic alcoholics this metabolic pathway increases and apparently determines the increased tolerance to alcohol of habitual drinkers.
Perixosomes. This reaction plays a lesser role. The reaction consists of oxidation of ethanol with hydrogen peroxide with formation of acetaldehyde and water. It is controlled by catalase.
CH-CH2OH+H2O2=CH-CHO+H2O
  ethanol Acetaldehyde


From the above it is evident that an alcoholic liver is in a state of hypermetabolism and requires more oxygen than a normal liver, therefore the centrolobular damage could be attributed, at least in part, to the state of relative hypoxia because it is the most sensitive region of the lobule to oxygen and nutritional deprivation.



CONTENTS