Loyola University Medical Education Network


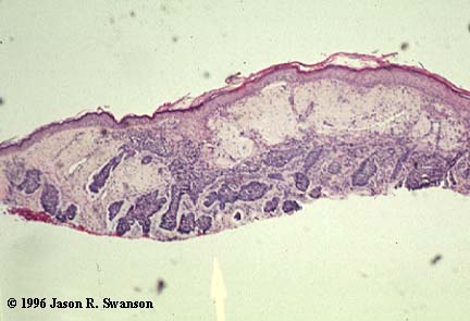
Histology-Nodular Basal Cell Carcinoma (low power)

Loyola University Medical Center



This is a photomicrograph of a shave biopsy of a basal cell carcinoma. Note the rather small, darker colored islands of tissue in the dermis.




non-frame version


Jason R. Swanson and Jeffrey L. Melton, M.D.
Last Updated: December 16, 1996
Created: January 19, 1996
Mail to:jswanso@earthlink.net

Contact Us

Jason R. Swanson
Jeffrey L. Melton, M.D.

Dermatology
LUMEN

Clinical Research
Opportunities

About LUMEN
Dermatology

Search for
Derm Images


Loyola University Medical Center Stritch School of Medicine Loyola University Medical Center Departments Loyola University Medical Education Network Loyola University Chicago

More
Dermatology
Sites

Other
Medical
Sites

Other
Links

Loyola
University
Medical
Center

Stritch
School of
Medicine

Medical
Center
Departments

LUMEN
Home

Loyola University
Chicago