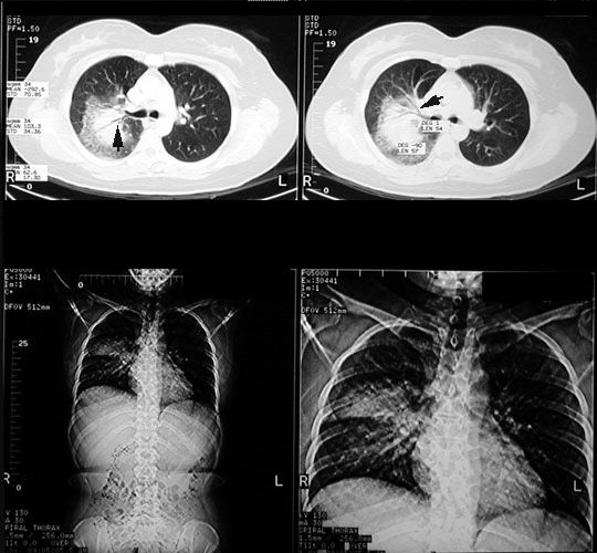
CT scan showing RUL round density with air bronchogram (arrows) suggesting air space disease.