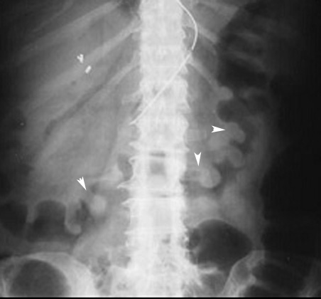
Ischemic colitis

Arrows point to "Thumb printing" defects along the margin of the colon characterstic of ischemic colon.