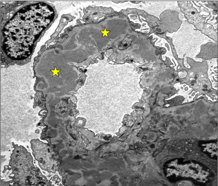
Proliferative lupus nephritis (type IV) – electron micrograph showing confluent subendothelial immune complex deposits (stars).