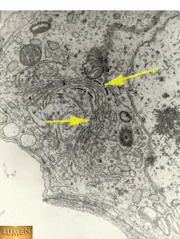
What is this organelle?
Answer
Golgi Apparatus