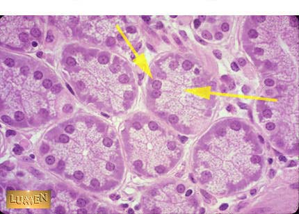
Do these cells secrete apically or basally?
Answer
Apically