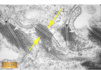
What kind of filaments are these?
Answer
Tonofilaments