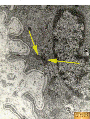
What organelle is this?
Answer
Mitochondria